Beyin Tümörleri

Vücut çok çeşitli, ayrı ayrı görevleri olan hücrelerden yapılmıştır. Bu hücrelerin çok büyük bir kısmı hayatımız boyunca büyür ve ölürler. Ölenlerin yerine diğer hücrelerin bölünmesi ile yenileri gelir. Bu şekilde vücudun sağlıklı kalması ve görevlerini doğru şekilde yapması sağlanır. Hücrelerin yenilenirken bölünmeleri milyonlarca yıllık evrim sonucunda çok sıkı kurallara bağlanmıştır ve çoğu zaman bir insanın hayatı boyunca sorunsuzca işlemektedir. Ancak hastalıklar, kalıtımsal etkenler ve vücudun çevreden maruz kaldığı etkenler sonucunda hücrelerin doğru fonksiyon görmesi bozulur ve hücreler büyüme kontrolünü kaybederek çok sık, hızlı ve olması gerekenden fazla sayıda bölünmeye başlarlar. Bu bozuk hücreler tümör denilen yanlış çalışan hücre topluluklarını oluştururlar. Aynı durum beyin ve sinir sisteminin diğer hücreleri içinde geçerlidir. Her yıl yaklaşık 16.000 insanda beyin tümörü saptanmaktadır.

Tümörler iyi huylu (benign) ve kötü huylu (malign) olarak iki ana gruba ayrılırlar. İyi huylu tümörler kanser hücreleri içermeyen gruptur. Genellikle çıkartılabilirler, tekrarlamazlar ve etraftaki normal çalışan dokulara yayılıp onların fonksiyonlarını bozmazlar. İyi huylu beyin tümörlerinin iyi sınırları vardır ve cerrahi ile çıkartılabilirler. Ancak beyin içindeki diğer normal dokulara bası yaparak onların normal çalışmasını engelleyebilirler.
Kötü huylu beyin tümörleri kanser hücreleri içermektedir. Hayatı tehdit ederler. Hızlı büyürler ve etrafındaki normal dokulara yayılarak onların fonksiyon görmesini de engellerler. Genellikle tıpkı ağaçlar gibi etrafa kök salarak beslenmeleri için gerekli olan maddeleri sağlıklı beyin dokusundan çalarak ayakta kalırlar.
Santral sinir sitemi, özellikle de beyin çok sıkı korunan kapalı bir kutunun (kafatası) içinde olduğundan basınç değişikliklerine çok hassastır. Bu nedenle bazı iyi huylu tümörler de kanser hücresi içermemelerine rağmen önemli yapılara baskı yaparak hayati tehlikeye neden olabilirler.
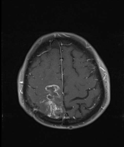
Beyin dokusundan kaynaklanan tümörlere birincil (primer) beyin tümörü denilir. İkincil (sekonder) beyin tümörü ise beyin dışı bir kanserin beyine yayılması ile oluşur. Beyin tümörleri kaynak aldıkları dokunun tipine göre adlandırılırlar. En sık görülen birincil beyin tümörü gliomlardır. Bunlar beynin sinir dışı destek hücrelerinden kaynaklanır.
Aşağıda sık karşılaşılan beyin tümörleri hakkında çok kısa bilgi verilmiştir.
Astrositomlar : Astrosit denilen küçük, yıldız şekilli hücrelerden kaynaklanırlar. Beyin, beyincik, omurilikte görülebilirler. Erişkinlerde genelde beyin yarım kürelerinde yerleşirlerken, çocuklarda daha çok beyin sapında görülürler. Evreleme sistemine göre 1. evredeki tümöre pilositik astrositom, 2.evredeki tümöre diffüz astrositom, 3. evredeki tümöre anaplastik astrositom, 4. evredeki tümöre glioblastome multiforme denilir. 1. ve 2. evre tümörlere düşük gradeli, diğerlerine ise yüksek gradeli tümörler denilir.
Epandimomlar : Genellikle beynin ventrikül denilen boşluklarının duvarını döşeyen hücrelerden gelişirler. Omurilikte de görülebilirler. Her yaşta oluşabilseler de genellikle çocukluk ve genç erişkin çağında görülürler. Primer beyin tümörlerinin %2-9'unu oluştururlar. Beyin omurilik sıvısı içerisinde yayılım gösterebilirler. Küçük yaşta klinik bulgu veren ependimomların daha kötü gidiş gösterdiği kabul edilmektedir.
Oligodendrogliomlar: Sinir hücrelerinin uzantılarının korunmasından sorumlu miyelin denilen yağ katmanını üreten hücrelerden kaynaklanır. Yavaş büyürler ve etraf dokulara yayılmazlar. Orta yaşlarda daha sık görülen ender tümörlerdir. Primer beyin tümörlerinin %4-5'ini oluştururlar. Bu tümörlerin önemli bir özelliği morfolojik ve radyolojik olarak değişik derecelerde kalsifikasyon göstermesidir.
Medullablastomlar : Son çalışmalarda bu tümörlerin doğumdan sonra vücutta kalmaması gereken primitif (gelişen) sinir hücrelerinden kaynaklandığı gösterilmiştir. Bu nedenle medullablastomlar Primitif Nöro Ektodermal (PNET) olarak da adlandırılırlar. Çoğunlukla beyincikte gelişirler. Genellikle çocukluk çağı tümörleridir ve erkeklerde daha fazla görülürler. Primer beyin tümörlerinin %4-10'unu oluştururlar. 20 yaş altında görülen beyin tümörlerinin ise -20'sini oluştururlar.
Menengiomlar : Meninks denilen beyin zarlarından gelişir. Yavaş büyüyen ve genellikle etraf dokulara yayılmayan tümörler olduğu için beyin dokusu bu tümörlerin varlığına uyum sağlayabilir ve büyük boyutlara ulaşana kadar fark edilmeden kalabilirler. Genellikle 30-50 yaşlarında kadınlarda görülürler. %95'den fazlası iyi huyludur. Beyin tümörlerinin 'ini oluştururlar.
Kraniofarengiomlar : Hipofiz bezinin yerleştiği bölgede gelişirler. Genellikle iyi huyludurlar ancak bazen etraf dokulara fazla zarar verdiklerinden kötü huylu olarak adlandırılırlar. Çocuk ve gençlerde daha sıktırlar.
Pineal bölge tümörleri : Pineal bezinin yerleşim yerinde görülürler. Beynin ortasında, derinde yerleşimli küçük bir organdır. Yavaş ve hızlı büyüyen iki tipi vardır. Çocukluk yaşta görülen beyin tümörlerinin %3-8'ini, erişkin yaşta ise %1'inden daha azını oluştururlar. Bu bölge tümörlerinin yaklaşık %80'i malign karakterdedir.
Beyin sapı tümörleri: Çocuklarda daha çok görülen yaygın tümörlerdir. Çocuklarda görülme oranı -20'yi bulmaktadır. Görülme yaşı ortalama 3-9'dur. Beyin sapı tümörleri arasında gliomlar özellikli bir grubu oluştururlar ve 4 gruba ayrılırlar. Diffüz, servikomedüller, fokal, dorsal ekzofitik tümörler olmak üzere. Diffüz tümörlerin hepsi maligndir.
Köşe Tümörleri : Beyincik ve beyin sapının birleşim noktasına köşe denilmektedir. Her ne kadar bu bölgede çeşitli tümör tipleri görülebilse de köşe tümörü denilince akla gelen ilk tümör tipi sekizinci kafa siniri, işitme ve dengeden sorumlu vestibular sinirin kılıf tümörü, schwannomlardır. İyi huylu, yavaş büyüyen tümörlerdir. İşitme ve denge sinirine bası yaparak duyma ve denge problemlerine neden olurlar. Eğer tümör daha fazla büyürse yüzün duyusunu alan sinire bası yaparak yüzde uyuşmaya neden olabilir. Daha da büyüyen tümörler yüz felcine ve hatta beyin sapına bası yaparak hayati tehlikeye neden olabilirler. Genellikle tek taraflı olarak görülen bu tümörler nörofibromatosiz tip 2 denilen kalıtsal bir hastalıkla beraber iki taraflı olarak görülebilirler. Tek taraflı olan tipi beyin tümörlerinin %8'ini oluşturmaktadırlar. Her yıl 100.000 kişiden birinde bu tümör görülmektedir. Erken tanı ciddi sorunlar çıkartmadan tedavi edilebilmesi için anahtar rol oynar. Hastaların %70'inde ilk şikayet işitme kaybıdır. Baş dönmesi, baş ağrısı, çınlama da görülen şikayetlerdir. Daha büyük tümörü olan hastalarda yüz felci, çift görme, yutma güçlüğü, yüzde ağrı ya da uyuşma görülebilecek diğer şikayetlerdir. İşitme kaybının derecesini saptamak için özel testler yapılmaktadır. Tanıdan şüphelenildiği durumlarda MR çekilerek tanı netleştirilir.
Metastatik Tümörler : Metastaz bir kanserin yayılmasıdır. Vücudun başka bir organındaki bir kanser yayılarak beyne ulaşırsa buna ikincil beyin tümörü denir. Beyine yayılmış kanser orijinal kanserin aynısıdır ve aynı şekilde isimlendirilir. Örneğin akciğer kanseri beyne yayılırsa buna metastatik akciğer kanseri denilir. Çünkü beyindeki metastatik tümörün hücreleri akciğer hücrelerine benzer, beyin hücrelerine değil. İkincil beyin tümörlerinde tedavi kanserin başlama yerine, yayılımının derecesine, hastanın yaşına, o anki sağlık durumuna ve ilk hastalığı için uygulanan tedaviye verdiği yanıta göre değişir.
Beyin Tümörlerinin Tedavisi
Tedavi seçimini etkileyen birçok faktör vardır. Bunlar tipi, yerleşim yeri, büyüklüğü ve hastanın durumudur. Çocuklar ve erişkinlerdeki seçenekler birbirinden farklıdır. Her hasta için ona özgü bir tedavi planı seçilir.
Beyin tümörleri cerrahi, radyasyon ve ilaçla tedavi edilebilirler. Hastanın ihtiyaçlarına göre birçok yöntem bir arada kullanılabilir. Hastanın tedavisi genellikle bir ekip tarafından yürütülür. Bu ekipte beyin cerrahı, tıbbi onkolog ve radyasyon onkoloğu bulunur. Bunların yanı sıra fizik tedavi uzmanı ve konuşma terapisti de ekibe katılabilir.
Birçok beyin tümöründe cerrahi ilk tedavi seçeneğidir. Mümkünse cerrah tümörün tamamını çıkartır. Ancak eğer etraf sağlam dokuya zarar vermeden tümörün tamamı çıkartılamıyorsa doktor tümörün mümkün olan kısmını çıkartır. Kısmi çıkarma kafa içi basıncını azaltacağı için hastanın şikâyetlerinin azalmasına ve radyasyon veya ilaçla hedeflenecek tümör dokusunun azalmasına yardımcı olur.
Bazı vakalarda tümör çıkartılamaz. Böyle durumlarda cerrah sadece biyopsi yapar ve tümörün küçük bir kısmını çıkartır. Çıkan kısım patolojiye yollanır ve mikroskop altında incelenerek kesin tipi öğrenilir. Bu tedavinin şekillendirilmesinde önemli bir bilgi kaynağıdır. Biyopsi açık cerrahi ile yapılabildiği gibi genel durumu buna izin vermeyen hastalarda özel sistemler kullanılarak bir iğneyle de yapılabilir. Doktor hastanın başına özel bir çerçeve (Frame) takarak MR ve/veya BT görüntüleri alır. Bu şekilde tümör dokusunun kafa içindeki kesin yerleşim yeri koordinatları ile belirlenir. Bu bilgilerle kafa tasına küçük bir delik açılarak biyopsi iğnesi doğrudan tümöre hedeflenir ve biyopsi alınır. Bu tekniğe stereotaksi denilir.
Radyasyon tedavisi (radyoterapi) çeşitli şekillerde uygulanabilir. Radyasyonun tüm kafaya büyük bir makine aracılığı ile verildiği yöntemde hastalar haftanın 5 gününde birkaç hafta süreyle ışınlanır. Tedavinin süresi tümörün tipine ve boyutuna göre belirlenir. Tedavinin bu şekilde parça parça yapılmasındaki amaç normal dokuların göreceği zararı azaltmaktır. Radyasyon özel maddelerin cerrahi ile doğrudan tümör içine konulması yolu ile de uygulanabilir. Konulan maddenin radyoaktif özelliklerine göre ya kısa süreli uygulama yapılır ya da madde kalıcı olarak beyinde bırakılır.
Stereotaktik radyocerrahi tedavideki diğer bir seçenektir. Tedavi tek seansta yapılır. Birçok açıdan yüksek doz radyasyon sadece tümör dokusuna yönlendirilir. Bu şekilde normal beyin dokusuna zarar verilmez. Bu yönteme GAMMA KNIFE RADYOCERRAHİSİ denilir. Daha kısa sürede daha etkili, daha doğru bir tedavi yöntemi sağlar. Bu yöntemde tümör boyutlarının üç santimetreden küçük olması gerekmektedir.
Kemoterapi kanser hücrelerini öldürmek için ilaç kullanılmasıdır. Tek bir ilaçla veya birçok ilacın çeşitli dozlarda birleşimi ile uygulanabilir. Tedavi ağızdan veya damardan olabileceği gibi doğrudan omurga içindeki beyin omurilik sıvısına verilerek de yapılabilir.
Bu tedavi şekillerinden birisi ile tedavisi yapılan hastalar, süresi doktorlar tarafından belirlenen ve ilk başlarda daha sık; sonra araları açılan kontrollere gelirler. Kontroller sırasında BT veya MR görüntüleri ile tümördeki değişimler takip edilir, hastaların tam bir muayenesi yapılır. Gerek görülürse ilaç tedavileri düzenlenir.
Kaynaklar
1- Gazi Üniv. Tıp Fak. Gamma Knife Ünitesi Web Sayfası
2- Türk Nöroşirürji Derneği Yayınları Temel Nöroşirürji Kitabı
العربية
русский
English
Türkçe